Latest News and Events
            Cancer 'off switch'
A new study has just been published with a breakthrough in a research...
Read onOther News and Events
                Laura's pilgrimage
Seven years on from aggressive Stage 3 HER2 positive breast cancer and thriving, I wanted to raise funding for Action Against Cancer...
Read on
                A Movable Feast!
Having pre-dinner drinks at one house, starters in another, moving to someone else' shome for the main course.
Read on
                Pregnancy and cancer
A groundbreaking study funded by Action Against Cancer has examined how having children affects a woman's risk of breast cancer.
Read on
                Cambridge Partnership
Action Against Cancer is delighted to be part funding the establishment of a new research centre for Professor of Biomedical Sciences Justin Stebbing.
Read on
                14 year cycling challenge!
A team of charity cyclists from South Yorkshire retail property company, Dransfield Properties, have completed the final leg of a 14-year Tour of Europe.
Read on
                Ironman Bill!
I finally agreed to take on Ironman in Nice back in 2019. Covid caused several postponements, but three...
Read on
                Fundraise from your Facebook page!
You can now raise vital funds for life saving research right from your Facebook page.
Read on
                Wedding gift donations
After more than 20 years together (and two postponements due to Covid) Kurt and I were married...
Read on
                Saying "hello again"
My sister wrote some words of comfort when our daughter, Becky, died in April this year...
Read on
                Corrie star support
Sally Ann Matthews, who stars in Coronation Street, has run 50 5K runs for Action Against Cancer!..
Read on
                Becky's Story
"Bex to Burcombe" with an infectious giggle was often shouted out on local car journeys by our daughter, Rebecca Maitland...
Read on
                Celebrities support AAC!
Action Against Cancer Ambassadors Julian and Cat O'Dell's live music fundraiser event Catfest has been...
Read on
                Remembering Sue
On Monday 1st February 2021, heaven gained an angel, when our wonderful Mum (and Dad’s beloved wife)...
Read on
                100 miles for Hilary
I wanted to do a fundraising challenge in memory of Hilary Craft, who was the Chairwoman of Action Against Cancer...
Read on
                Hilary's obituary
Action Against Cancer is devastated to announce the passing of our wonderful Founder and Chairwoman, Hilary Craft OBE..
Read on
                Prof's epic fundraiser!
We are absolutely thrilled that Professor Georgios Giamas is supporting us with his "LMTK3 cancer fundraising challenge"!..
Read on
                Big step closer to new drug
One of the first projects Action Against Cancer funded after establishing as a charity in 2011...
Read on
                New Manchester partnership
Coronavirus is disproportionately affecting cancer patients, whose immunity is low making them more susceptible to the virus. In addition, surgical treatment...
Read on
                Dr. Biancastella Cereser
My research aims to understand the reasons why pregnancy can influence a woman’s risk to develop breast cancer...
Read on
                Breast cancer breakthrough
A study led by Professor Justin Stebbing a t Imperial College London has for the first time demonstrated how...
Read on
                AAC Music Quiz!
We have to stay at home but we can still have fun! Since the beginning of lockdown, a music buff has been...
Read on
                New hope for cancer patients
The scientists working on this research are building a cutting-edge 3D model initially of breast cancer...
Read on
                
            
                Marlborough concert
A fundraising concert was held at Marlborough College in memory of former student Toby Grafftey-Smith and in support of our research. Toby was a very...
Read on
                Dr. Nina Moderau
I am a Research Associate in the Department of Surgery and Cancer at Imperial College. I’m responsible for a...
Read on
                AAC Mobile
We are delighted to offer people a contract-free way to save money while supporting our life-saving research...
Read on
                Hope for breast cancer patients
A discovery made by scientists at the University of Sussex and funded by Action Against Cancer offers new hope to breast cancer patients...
Read on
                London Marathon inspiration
On the 18th August 2016 my mother was diagnosed with stage IV (metastatic) breast cancer which spread initially to the bone...
Read on
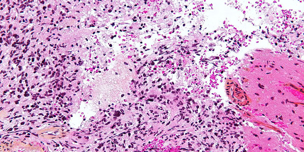
                Brain cancer breakthrough!
We are delighted to announce the publication of an exciting breakthrough in the lab at the University of Sussex...
Read on
                Support from Riviera Travel
Whilst on holiday recently, Action Against Cancer Founder and Chairwoman Hilary Craft OBE spoke to...
Read on
                Scientist running for Action Against Cancer!
My name is Jinrui Wen and I am a PhD student working on a project funded by Action Against Cancer...
Read on
                Hilary awarded an OBE!
We are delighted to announce that Action Against Cancer’s Founder and Chairwoman Hilary Craft has...
Read on
                Ellie our ten year old fundraiser!
I decided to fundraise for the charity Action Against Cancer because my Mummy told me about all the amazing...
Read on
                4th Beckenham Half Marathon
The 4th Beckenham Half Marathon took place on Sunday 23rd September. Never in a million years would I have...
Read on
                New Ambassadors
Cat and Julian O’Dell have recently been appointed as Ambassadors of Action Against Cancer...
Read on
                Professor Georgios Giamas
We are delighted to congratulate Professor Georgios Giamas who has just been made a Professor at...
Read on
                Wedding Gift Donations
Newly married Kirsty and David Lantos kindly asked their friends and family to make donations to Action Against Cancer...
Read on
                15th CBF Charity Golf Day a Success!
Our 15th CBF Golf Day resulted in both a superb experience and a fantastic amount raised...
Read on
                Dr. Silvia Ottaviani
I am a Research Associate in the Department of Surgery and Cancer at Imperial College, working with Professor Justin Stebbing...
Read on
                Raindrops on Roses
This is a beautiful shop with a difference: 100% of profits are donated to Action Against Cancer!...
Read on
                Rosemary Lane
I am a PhD student working on the most aggressive brain cancer type, called Glioblastoma multiforme (GBM)...
Read on
                
            
                Royal Parks Half Marathon
Much of the work that Action Against Cancer funds is led by Professor Justin Stebbing...
Read on
                Catfest – A Purrfect Day
Julian and Cat O’Dell’s fundraiser festival Catfest in aid of Action Against Cancer was a huge success! Over 350 revellers...
Read on
                Dr. Niklas Feldhahn
I am currently an early career researcher and junior group leader at Imperial College London. Action Against Cancer supports my work investigating...
Read on
                AAC 5K Challenge
The second AAC 5K Challenge was a wonderful day with smiles all round! More than 200 people enjoyed the event in the beautiful grounds...
Read on
                Dr. Elena Lopez-Jimenez
Elena is the current holder of the Jason Boas Fellowship at Imperial College. This is awarded to pancreatic cancer research, in memory of Jason Boas who sadly died...
Read on
                Three Comrades Take on Cancer
Two friends, Jamie Boyd and George Jerram, and I embarked on the biggest challenge of our lives by running the oldest endurance race in the world...
Read on
                Donate the Change
We have an exciting new way you can choose to support Action Against Cancer! If you pay for things using...
Read on
                100km Thames Path Challenge!
A small group of Mums from Thomas’s Clapham came up with the crazy plan to take part in the Thames Path Challenge – a 100km walk along the Thames towpath...
Read on
                Jazz concert at historic house
David and Anne-Noëlle Pinnegar, the owners of Hammerwood Park, held a fundraising jazz concert in aid of Action Against Cancer in the grounds of...
Read on
                Neha Tabassum
I am a PhD student working with my team on how pregnancy can affect your chances of developing breast cancer. Breast cancer is one of the most commonly diagnosed cancers...
Read on
                WishList Collective Pop Up Sales
Tiffany Chawner and I are both Mums to young children and we share a love of the Spirit Fairs at Olympia, which we have been attending together for a few years...
Read on
                Barbara and Bet take on the Yorkshire 3 Peaks!
My dear friend Bet and I decided to complete the Yorkshire 3 Peaks Challenge in 12 hours in support of Action Against Cancer since we both have friends...
Read on
                RB Golf Day
As the mist rose above the rolling hills of the Hertfordshire countryside on a lovely March day; 26 hardy souls braved the elements to attend the...
Read on
                Arctic Reflections Art Exhibition
The artist Michael Bourgeois supported Action Against Cancer with his exhibition of his latest series of works...
Read on
                Dr. Phillip Lawton
I am a Research Associate at Imperial College London. The aim of my work is to test novel methods...
Read on
                Love and Light Paintings
Through her website Love & Light Paintings Julie Smallwood creates and sells original and commissioned art donating...
Read on
                Sporting legends play darts!
Darts icons Phil 'the Power' Taylor and ‘the Flying Scotsman’ Gary Anderson took part in a celebrity darts...
Read on
                Art Attack on Cancer
Julian O'Dell is supporting Action Against Cancer through his original pencil drawings. He raised money for other charities via this medium for 18 months (raising an astonishing £17,000!)...
Read on
                Sailing on the Solent
A wonderful and successful day was spent on the Solent by ‘Team Anderson,’ raising money for Action Against Cancer...
Read on
                Children's Ballet Recital
I am a ballet teacher that was diagnosed with aggressive breast cancer and am now in remission thanks to an incredible team of doctors and nurses...
Read on
                Beckenham Half Marathon 2016
I am a runner myself, and have completed 14 marathons as well as numerous triathlons, including Ironman Wales...
Read on
                Tutu wearing walk from Hastings to Bexhill!
I'm Kay a mummy of twintastic little boys, Nicholas & Maximos. Last year August our lives were tipped upside down after I found...
Read on
                AAC 5K Challenge - 2016
The sun shone on the first ever Action Against Cancer 5K Challenge and it was a wonderful day!...
Read on
                WalkWithMe 2016
For the third year in a row, the WalkWithMe team chose to fundraise for Action Against Cancer and we were all thrilled!...
Read on
                Cycling 400 miles through the Bavarian Alps!
A 16-strong team of riders from across the UK have completed a tough five day challenge cycling from Munich to Berlin...
Read on
                Mission for Maureen
Inspired by the death of his mother to cancer earlier this year, Rikki Ledger and his father Trevor, decided to...
Read on
                Eight friends over Three Peaks in 24 hours!
Jonathan recruited seven friends to take on The National Three Peaks Challenge. This meant climbing the highest peaks in England, Wales and Scotland within 24 hours...
Read on
                Father and daughter Olympic stadium team!
Five months ago I was diagnosed with stage 4 pancreatic cancer which had spread to my liver and I was given only months to live...
Read on
                WalkWithMe 2015
Following on from the great success of last year's walk, WalkWithMe2015 were once again proud to be raising money for Action Against Cancer...
Read on
                Golf day tees up more than £20,000!
For the second year running, the Peter Cooper Motor Group held a fantastic golf day at the famous Goodwood course in aid of Action Against Cancer...
Read on
                Chris' Baltic Cycle Ride
My name is Chris Nolan. A month after my second daughter was born in late 2012 I was diagnosed with stage 4 bowel cancer that had spread to my liver...
Read on
                A Magical Night for Action Against Cancer
Guests were wowed by magician Dynamo at a start-studded event in support of Action Against Cancer, at Home House, London...
Read on
                WalkWithMe sets new record for Action Against Cancer!
Action Against Cancer is proud to have been selected as the 2014 charity partner of the WalkWithMe event...
Read on
                The Jason Boas Fellowship
In November 2008, Jason Boas, a 34 year old accountant from London sadly lost his year-long fight with pancreatic cancer...
Read on
                AAC Chairwoman honoured by the Queen
We are pleased to announce that Hilary Craft, Action Against Cancer's inspirational founder and Chairwoman has been awarded...
Read on
                Parky meets the Prof
Action Against Cancer is delighted to announce that Sir Michael Parkinson, CBE, has become a Patron of Action Against Cancer. Sir Michael recently...
Read on
                Cathy's coffee and cakes for AAC
Cathy Turner and her sister Susy have raised £1,500 for Action Against Cancer by holding a hugely successful coffee morning which was attended by 70 guests...
Read on
                Serving up a treat for Action Against Cancer
Over 120 keen tennis players and spectators attended the annual Beilin Tennis Tournament at Farm Walk Tennis Club...
Read on
                Nothing will stop cancer battler Liz!
Even a high-speed, head on, crash with a pedestrian, couldn't stop Liz Buffini from completing the Liverpool Triathlon. Liz, aged 60...
Read on
                WOMAC event raises £20,000!
At a fantastic evening at BAFTA in Piccadilly, Women On The Move Against Cancer (WOMAC) raised £20,000 for Action Against Cancer...
Read on
                Bride to be Ellie donated hair for big day!
Ellie Jeffery, a 29 year old cancer sufferer who has inspired so many through her blog writtenoff.net will walk down the aisle for her wedding...
Read on
                One Thousand Women v Breast Cancer
One Thousand Women is a brand new fundraising initiative led by Samantha Wisnevitz. Samantha is 32 years old but unfortunately is...
Read on
                Dodgeballers raise £16,000 in memory of Sally Leigh-Wood
On 21st January, in the depths of Canary Wharf, 21 teams fought it out to be crowned Dodgeball Champions...
Read on
                Action Against Cancer sportsman's dinner raises £11,000!
On a fantastic evening, sponsored by our good friends at Connell Associates, generous guests helped to...
Read on
            Hilary the hero!
We are delighted to announce that our Chairwoman, Hilary Craft has been recognised not once, not twice but three times for her incredible fundraising efforts!...
Read on
            Sam's battle with breast cancer
I am Sam. My story is not a sad one, although parts of it may be. My cancer journey started in September 2007 whilst I was on holiday...
Read on